Морфологические и иммуногистохимические характеристики биоптатов кожи после введения поли-L-молочной кислоты и гиалуроновой кислоты раздельно и в комбинации
Авторы: Тимофеев А.В., Мураков С.В., Главнова А.М., Веревкин А.А., Соколова О.Ф.
Журнал: Пластическая хирургия и эстетическая медицина. 2025;(3): 50‑62
DOI: 10.17116/plast.hirurgia202503150
Как цитировать:
Тимофеев А.В., Мураков С.В., Главнова А.М., Веревкин А.А., Соколова О.Ф. Морфологические и иммуногистохимические характеристики биоптатов кожи после введения поли-L-молочной кислоты и гиалуроновой кислоты раздельно и в комбинации. Пластическая хирургия и эстетическая медицина. 2025;(3):50‑62.
Timofeev AV, Murakov SV, Glavnova AM, Verevkin AA, Sokolova OF. Morphological and immunohistochemical characteristics of skin specimens after isolated and combined injections of poly-L-lactic acid and hyaluronic acid. Plastic Surgery and Aesthetic Medicine. 2025;(3):50‑62. (In Russ., In Engl.)
https://doi.org/10.17116/plast.hirurgia202503150
Резюме:
АКТУАЛЬНОСТЬ
В основе механизмов возрастной инволюции лежат морфофункциональные изменения кожи и подлежащих тканей, возникающие под влиянием генетических, гормональных и экзогенных факторов. Инъекционные имплантаты регулируют процессы клеточного метаболизма кожи и стимулируют синтез внутриклеточных и внеклеточных компонентов. Иммуногистохимическое (ИГХ) исследование позволяет отследить динамику изменения уровней биомаркеров возрастной инволюции и получить объективную оценку процессов ремоделирования кожи после введения препаратов.
ЦЕЛЬ ИССЛЕДОВАНИЯ
Сравнительная оценка эффективности и безопасности инъекционной коррекции инволюционных изменений кожи с помощью препаратов на основе поли-L-молочной кислоты (PLLA) и гиалуроновой кислоты (ГК) при их раздельном введении и одновременном применении за одну сессию.
МАТЕРИАЛ И МЕТОДЫ
В исследование были включены два пациента, которым вводили исследуемые препараты в каждый из трех квадрантов передней брюшной стенки. Гистологическую диагностику (окрашивание гематоксилином и эозином, ИГХ-исследование) проводили дважды: до введения и через 6 нед после первой процедуры. Биоматериал получали методом панч-биопсии из каждого квадранта. Для обеспечения объективности результатов исследование выполнено с применением одностороннего слепого метода.
РЕЗУЛЬТАТЫ
Наблюдалось возрастание экспрессии трансформирующего фактора роста бета-1 (TGF-β1) в дерме у обоих пациентов как при раздельном введении PLLA и ГК, так и при их применении за одну сессию. Рецептор гиалуронан-опосредованной подвижности (RHAMM) характеризовался повышением уровня экспрессии у обоих участников исследования после введения ГК и комбинированного применения PLLA и ГК. Степень гидратации коллагеновых волокон, основанная на определении относительного коэффициента светопропускания коллагеном, повысилась после применения ГК и комбинации PLLA и ГК. Отсутствие нежелательных явлений при применении PLLA и ГК как отдельно, так и в комбинации свидетельствует о благоприятном профиле безопасности.
ЗАКЛЮЧЕНИЕ
Исследуемые препараты являются эффективными и безопасными. Было продемонстрировано синергетическое действие при совместном применении PLLA и ГК. Полученные результаты показывают значительный потенциал для дальнейшего изучения комбинированных методов инъекционной коррекции инволюционных изменений кожи.
Введение
Коррекция инволюционных изменений представляет собой одно из приоритетных направлений в современной эстетической медицине. Старение кожи — это сложный динамический процесс, в котором генетическая предрасположенность, гормональный статус и внешние факторы определяют постепенное снижение метаболической активности кожи и их резистентности к негативным воздействиям окружающей среды [1]. Клиническими проявлениями многофакторного процесса старения являются деформационные изменения, атрофические процессы, нарушения пигментации, сосудистые изменения и снижение тургора [2—4]. В основе механизмов возрастной инволюции лежат комплексные морфофункциональные изменения, затрагивающие все слои кожного покрова и подлежащие ткани. С возрастом происходит замедление метаболической активности клеток кожи, сопровождающееся снижением синтеза внутриклеточных и внеклеточных компонентов. При снижении количества фибробластов и повышении активности матриксных металлопротеиназ (matrix metalloproteinases — MMP) происходит дисбаланс в системе обновления дермы: уменьшается синтез коллагена и эластина, усиливается деградация существующих волокон, что нарушает функциональное состояние кожи. Следствием этих процессов становится комплексное нарушение структурно-функционального состояния кожи: снижается эластичность, происходит истончение слоев дермы и эпидермиса, утрачиваются объемы подкожной жировой клетчатки, формируются морщины и складки [4—7].
Как показывают исследования [8—10], возрастные изменения кожи обусловлены воздействием активных форм кислорода (АФК) — маркеров окислительного стресса, которые играют решающую роль в усилении возрастной инволюции под влиянием ультрафиолетового излучения. АФК опосредуют экспрессию активаторного белка 1 (activator protein 1 — AP-1) и ядерного фактора каппа-В (nuclear factor-κB — NF-κB), которые, в свою очередь, способствуют выработке MMP-1, принимающей участие в деградации коллагеновых волокон. Кроме того, АФК-индуцированный AP-1 ингибирует в фибробластах сигнальный путь трансформирующего фактора роста β (transforming growth factor beta — TGF-β), основного регулятора биосинтеза компонентов внеклеточного матрикса. В развитии возрастных изменений кожи существенную роль играет изменение молекулярной архитектуры коллагена, при котором увеличивается количество и стабильность поперечных связей между молекулами, что приводит к образованию более жесткой, но менее эластичной структуры. Этот процесс усиливается под воздействием различных неблагоприятных факторов, включая курение, избыточную физическую нагрузку и ультрафиолетовое излучение. В результате не только ухудшаются эластические свойства кожи и кровеносных сосудов, но и нарушается транспорт питательных веществ через коллагеновые волокна, что негативно влияет на трофику тканей [6]. Дополнительно к этим изменениям наблюдается снижение синтеза гликозаминогликанов, особенно гиалуроновой кислоты (ГК), что в сочетании с истончением липидного слоя вызывает сухость возрастной кожи [4, 10, 11].
Расширение представлений о процессах старения на молекулярном и клеточном уровнях позволило создать комплексные методы коррекции, воздействующие на основные механизмы возрастных изменений кожи лица. Особое место среди этих методов занимают интрадермальные имплантаты, которые не только восполняют утраченные объемы, но и активизируют синтез коллагена, эластина и факторов роста, усиливая пролиферацию фибробластов и способствуя утолщению дермы [3, 12—14]. Препараты на основе ГК стали широко востребованными благодаря их безопасности, эффективности и низкой иммуногенности [15, 16]. Одним из основных свойств ГК является ее способность связывать и удерживать молекулы воды в клетках, обеспечивая высокий уровень увлажненности кожи. Взаимодействуя с рецептором гиалуронан-опосредованной подвижности (receptor for hyaluronan-mediated motility — RHAMM) и CD44 (рис. 1), ГК как основной полисахаридный компонент внеклеточного матрикса обеспечивает организацию микроархитектуры тканей [17—20]. Данные рецепторы, локализованные на клеточной поверхности, в цитоплазме, цитоскелете и клеточном ядре, регулируют подвижность и пролиферацию мигрирующих клеток при связывании с ГК, что способствует ускорению процессов регенерации. Гистологические исследования биоптатов, полученных после введения препаратов на основе ГК, демонстрируют значительное усиление пролиферации кератиноцитов и фибробластов, а также усиление продукции коллагена [3, 6, 21—23]. Кроме того, ГК стимулирует выработку эластина [3, 16], способствует нормализации структурной организации коллагеновых и эластических волокон [21], а также повышению экспрессии рецептора эпидермального фактора роста (epidermal growth factor receptor — EGFR) [16] и TGF-β, регулирующего образование компонентов матрикса [24]. Регуляция неоколлагеногенеза в фибробластах осуществляется за счет сигнального пути TGF-β/Smad (small mothers against decapentaplegic homolog), опосредующего процессы клеточного роста, апоптоза и морфогенеза. Вместе с тем ряд исследователей отмечают, что ГК не только стимулирует образование нового коллагена, но и препятствует его деградации через активацию тканевых ингибиторов MMP [6, 24].

Рис. 1. Механизм действия PLLA и ГК при их комбинированном применении.
PLLA — поли-L-молочная кислота; ГК — гиалуроновая кислота; IL — интерлейкин; MMP — матриксная металлопротеиназа; RHAMM — рецептор гиалуронан-опосредованной подвижности; TIMP — тканевый ингибитор матриксных металлопротеиназ; TGF-β — трансформирующий фактор роста-β.
MiraLine HYDRO (Южная Корея) — это биоревитализант на основе высокомолекулярного гиалуроната натрия в концентрации 13 мг/мл, способствующий повышению увлажненности кожи и обладающий стимулирующим действием в отношении компонентов внеклеточного матрикса. Благоприятная переносимость процедуры введения MiraLine HYDRO обеспечивается комплексом факторов: физиологическим значением pH, использованием эргономичных шприцев и тонкостенных игл с увеличенным просветом [23].
В научной литературе накоплен значительный объем данных, подтверждающих эффективность поли-L-молочной кислоты (poly-L-lactic acid — PLLA) в коррекции возрастных изменений [25—27]. PLLA — биосовместимый синтетический полимер, более двадцати лет применяемый для эстетической коррекции лица и тела [24]. Препараты на основе PLLA представляют собой лиофилизат, содержащий микросферы полимера, а также вспомогательные вещества, обеспечивающие стабильность микрочастиц и последующее восстановление суспензии [27—30]. Непосредственно после инъекции PLLA обеспечивает аугментацию тканей в зоне введения, однако данный эффект исчезает по мере деградации суспендирующего агента. Микросферы PLLA вызывают в тканях субклиническую воспалительную реакцию, которая реализуется через секрецию провоспалительных цитокинов (интерлейкина [interleukin — IL]-1β, IL-6 и фактора некроза опухоли α [tumor necrosis factor alpha — TNF-α]) макрофагами типа M1. При этом макрофаги М2 стимулируют миграцию фибробластов к поверхности препарата и индуцируют экспрессию TGF-β, который активирует фибробласты и запускает синтез коллагена I типа во внеклеточном матриксе [14, 26, 29, 31—33]. На фоне воспалительного ответа наблюдается усиление процессов образования новых сосудистых структур за счет активации факторов роста, в том числе фактора роста эндотелия сосудов (vascular endothelial growth factor — VEGF), который способствует выработке TGF-β1 и формированию новых структурных компонентов. Выработка нового коллагена происходит по мере снижения активности воспаления и уменьшения количества клеточных элементов. Кроме того, стимуляция неоколлагеногенеза фибробластами осуществляется посредством сигнальных путей киназ Akt, p38 и JNK, регулирующих клеточные процессы в стрессовых условиях. Активация неоколлагеногенеза за счет опосредованной макрофагами М2 выработки TGF-β1 способствует пролиферации адипозных стволовых клеток. В течение 9 мес после введения PLLA подвергается полной биодеградации до мономеров молочной кислоты, которые метаболизируются до углекислого газа и воды [29]. При этом наиболее выраженный процесс неоколлагеногенеза наблюдается в период 8—24 мес после введения имплантата [27]. Как показывают результаты иммуногистохимических (ИГХ) исследований, данный процесс сопровождается инфильтрацией тканей макрофагами и фибробластами, а также повышением экспрессии тканевого ингибитора MMP-1, благодаря чему наблюдается более интенсивное образование коллагеновых волокон [31].
MiraLine PLLA 28 (Южная Корея) представляет собой стимулятор естественной выработки коллагена. При введении в глубокие слои дермы или в подкожную жировую клетчатку он запускает активность фибробластов, обеспечивая синтез нового коллагена и коррекцию возрастных изменений. В состав препарата входит 150 мг PLLA и 50 мг натрия карбоксиметилцеллюлозы, обеспечивающей стабильность суспензии, равномерное распределение микросфер, а также создание объема в мягких тканях непосредственно после введения. Благодаря сферической форме и размеру 25—50 мкм частицы PLLA не подвергаются агрегации. Данная конфигурация микросфер обеспечивает предсказуемый макрофагальный ответ при минимальной выраженности болезненных ощущений [28, 33, 34].
Несмотря на широкое изучение механизмов действия PLLA и ГК как в лабораторных, так и в клинических условиях, сравнительные данные о них представлены в литературе весьма ограниченно. В одном из исследований [7] было установлено, что в культурах фибробластов при внесении ГК или PLLA наблюдалось независимое от концентрации статистически значимое повышение содержания коллагена I типа (p
Данные о комбинированном одномоментном применении PLLA и ГК также представлены ограниченно, несмотря на их потенциальную синергию. Клиническая оценка применения гибридного протокола одномоментного введения PLLA и высокомолекулярной ГК продемонстрировала выраженное уплотнение и выравнивание рельефа кожи через 6 нед после процедуры. Ультразвуковая диагностика подтвердила эти изменения: были выявлены зоны различной акустической плотности, что свидетельствует о постепенном увеличении плотности соединительнотканных структур и повышении эхогенности тканей. Гистологическое исследование биоптатов кожи с окрашиванием по Массону и по Ван Гизону установило структурную перестройку и увеличение количества соединительнотканных компонентов, а также формирование более плотной сети коллагеновых волокон на уровне дермы и подкожной жировой клетчатки [28].
Существующие исследования демонстрируют эффективность как монотерапии PLLA и ГК, так и их комбинированного применения. Однако не изучены сравнительные характеристики этих подходов и их влияние на морфофункциональные изменения кожи на молекулярном уровне, который может быть оценен с помощью ИГХ-исследования.
Цель исследования — сравнительная оценка морфологических и иммуногистохимических характеристик биоптатов кожи после введения PLLA и ГК раздельно и в комбинации.
Материал и методы
Исследование проводилось с участием двух пациентов: мужчины 33 лет (пациент 1) и женщины 55 лет (пациент 2), которые дали информированное добровольное согласие на включение и обработку персональных данных.
Субъектам исследования вводили исследуемые препараты в каждый из трех квадрантов передней брюшной стенки по следующей схеме:
— квадрант I: две процедуры введения PLLA (MiraLine PLLA 28) с интервалом 4 нед;
— квадрант II: две процедуры сочетанного введения PLLA (MiraLine PLLA 28) и нестабилизированной ГК (MiraLine HYDRO) за один сеанс с интервалом 4 нед;
— квадрант III: две процедуры введения нестабилизированной ГК (MiraLine HYDRO) с интервалом 4 нед.
В квадрантах I и II было введено по 75 мг (1/2 флакона) суспензии PLLA, предварительно восстановленной 20 мл воды для инъекций и 2 мл 2%-го раствора лидокаина. Применялась векторная техника введения канюлей 23G на глубину 3—4 мм (уровень гиподермы). Препарат нестабилизированной ГК вводили в квадрантах II и III на ту же глубину (3—4 мм) в векторной технике с помощью канюли 23G. Расход препарата в каждом квадранте составил 0,5 мл. Первым этапом в квадранте II осуществляли введение PLLA с последующим применением ГК.
Взятие биоматериала осуществляли методом панч-биопсии до инъекционного введения препаратов, а также повторно через 6 нед после первой процедуры (и первой биопсии). Биоптаты фиксировали в 10%-м растворе нейтрального забуференного формалина с дегидратацией и заливкой в парафин по стандартной методике. Изготовленные срезы ткани окрашивали гематоксилином и эозином, а также выполняли ИГХ-реакции по протоколам, рекомендованным производителем. В работе использованы моноклональные мышиные антитела против TGF-β1 (Cloud-Clone, KHP) и поликлональные кроличьи антитела против RHAMM (Cloud-Clone, KHP), а также набор вспомогательных реагентов с вторичными антителами, меченными HPR и DAB-хромогеном (Cloud-Clone, KHP). Окрашивание ядер клеток после ИГХ-реакции проводили гематоксилином Гарриса.
Для оценки результатов ИГХ-реакций использован метод цифровой морфометрии, предложенный А.А. Славинским и соавт. [35]. С помощью микроскопа Axio Scope.A1 (Zeiss, Германия), оснащенного фотокамерой AxioCam ERc5s (Zeiss, Германия) и программным обеспечением ZEN blue (Zeiss, Германия), получали изображения микропрепаратов с 40-кратным увеличением объектива микроскопа. Определяли суммарную площадь (S, %) иммунореактивного продукта в дермальном слое кожи и эпидермисе с помощью инструмента Particles Analyzer (анализатор частиц). Для оценки степени гидратации коллагеновых волокон определяли их интегральную светопропускающую способность в красном канале (с учетом оксифильного окрашивания), которую затем относили к общей светопропускающей способности среза. С целью повышения объективности результатов исследование выполнено с соблюдением одностороннего слепого метода.
Результаты и обсуждение
Методом панч-биопсии были получены серии кожных образцов из передней брюшной стенки от двух пациентов до введения исследуемых препаратов (по 1 биоптату) и через 6 нед после первой процедуры (по 3 биоптата).
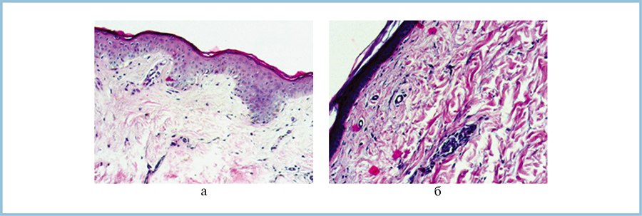
В результате гистологической оценки биоптатов, взятых до коррекции и окрашенных гематоксилином и эозином, у пациента 2 была диагностирована атрофия эпидермиса. У пациента 1 вокруг капилляров дермы наблюдались единичные фибробласты и мононуклеарные клетки (рис. 2).

Рис. 2. Результаты микроскопического исследования биоптатов, полученных до введения препаратов (окрашивание гематоксилином и эозином).
Пациент 1 (а) — в биоптате кожи вокруг капилляров дермального слоя присутствуют единичные фибробласты и мононуклеарные клетки (×20); пациент 2 (б) — в биоптате уменьшена толщина сосочкового слоя дермы и эпидермиса (×5).
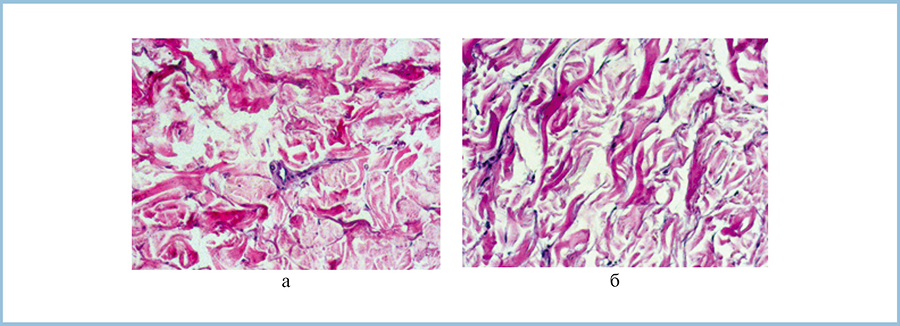
Через 6 нед после первого введения PLLA микроскопическое исследование показало отсутствие значимых структурных изменений кожи у обоих пациентов при повышении оксифилии и незначительном утолщении волокон сетчатого слоя дермы (рис. 3). У пациента 2 установлено отсутствие атрофии эпидермиса, наблюдавшейся до первой процедуры.

Рис. 3. Результаты микроскопического исследования биоптатов, полученных после введения PLLA (окрашивание гематоксилином и эозином).
Пациент 1 (а) — в биоптате наблюдается эозинофилия и утолщение волокон дермального слоя кожи (×10); пациент 2 (б) — в биоптате нет признаков атрофии эпидермиса, присутствует эозинофилия и утолщение волокон дермального слоя кожи (×10). PLLA — поли-L-молочная кислота.
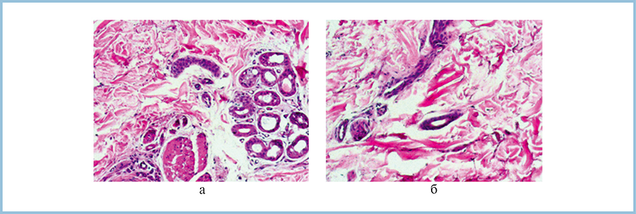
Комбинированное применение PLLA и ГК сопровождалось моделированием волокон сетчатого слоя дермы у пациента 1, а также базальноклеточной гиперплазией эпидермиса у пациента 2 (рис. 4).

Рис. 4. Результаты микроскопического исследования биоптатов, полученных после комбинированного применения PLLA и ГК (окрашивание гематоксилином и эозином).
Пациент 1 (а) — в биоптате отмечается ремоделирование коллагеновых волокон сетчатого слоя дермы (×10); пациент 2 (б) — в биоптате отмечена пролиферация базальных клеток эпидермиса (×10). PLLA — поли-L-молочная кислота; ГК — гиалуроновая кислота.
Введение нестабилизированной ГК у обоих пациентов характеризовалось увеличением числа капилляров, оксифилией волокон сетчатого слоя дермы, повышением количества фибробластов и мононуклеарных клеток в дерме (рис. 5).

Рис. 5. Результаты микроскопического исследования биоптатов, полученных после введения ГК (окрашивание гематоксилином и эозином).
Пациенты 1 (а) и 2 (б) — в биоптатах наблюдается эозинофилия волокон сетчатого слоя, увеличение числа фибробластов и мононуклеарных клеток в дерме, локализованных преимущественно вокруг капилляров и придатков кожи (×20). ГК — гиалуроновая кислота.
Морфометрический анализ микропрепаратов при проведении ИГХ-исследования показал, что у обоих пациентов после введения PLLA и ГК раздельно и в комбинации наблюдалась тенденция к повышению уровня изоформы 1 белка TGF-β (рис. 6, 7). Установлено, что введение PLLA характеризовалось существенным возрастанием экспрессии TGF-β1 в дермальном слое кожи: в 5,14 раза у пациента 1 и в 1,8 раза у пациента 2. Сочетанное применение PLLA и ГК привело к возрастанию экспрессии TGF-β1 в 3,2 раза и 2,0 раза у пациентов 1 и 2 соответственно. После введения ГК наблюдалось повышение экспрессии TGF-β1 в дерме у пациента 1 в 4,6 раза. У пациента 2 отмечено снижение экспрессии TGF-β1 в 1,4 раза.

Рис. 6. Морфометрическая оценка экспрессии иммуногистохимических маркеров.
а — TGF-β1; б — RHAMM. PLLA — поли-L-молочная кислота; ГК — гиалуроновая кислота; RHAMM — рецептор гиалуронан-опосредованной подвижности; TGF-β1 — трансформирующий фактор роста бета-1.

Рис. 7. Экспрессия TGF-β1 в биоптатах кожи. Иммуногистохимическая реакция (×10).
а — биоптат кожи пациента 1 до введения препаратов; б — биоптат кожи пациента 2 до введения препаратов; в — биоптат кожи пациента 1 после применения PLLA; г — биоптат кожи пациента 2 после применения PLLA; д — биоптат кожи пациента 1 после комбинированного применения PLLA и ГК; е — биоптат кожи пациента 2 после комбинированного применения PLLA и ГК; ж — биоптат кожи пациента 1 после применения ГК; з — биоптат кожи пациента 2 после применения ГК. TGF-β1 — трансформирующий фактор роста бета-1; PLLA — поли-L-молочная кислота; ГК — гиалуроновая кислота.
Сигнальный путь TGF-β представляет собой основной механизм регуляции процесса синтеза коллагена фибробластами. Посредством транскрипционных модуляторов Smad, регулирующих процессы клеточного роста, апоптоза и морфогенеза, TGF-β контролирует метаболизм коллагена и других компонентов внеклеточного матрикса. Сигнальный путь TGF-β/Smad имеет критически важное значение для поддержания структурной целостности дермы [10, 26, 36, 40]. S. Vari и соавт. в своем исследовании подтвердили наличие значимой положительной корреляции между уровнем TGF-β1 и содержанием коллагена I типа в супернатантах культивированных дермальных фибробластов человека (p
Способность PLLA и ГК активировать сигнальный путь TGF-β была подтверждена многими авторами. Так, в работе P. Stein и соавт. четырехкратное введение PLLA 21 женщине в передней области плеча сопровождалось выраженным повышением экспрессии TGF-β1 после первой и четвертой процедур и сохранялось в течение 10 мес после последней инъекции [38]. K.-A. Byun и соавт. выявили, что стимуляция пролиферации фибробластов с повышением экспрессии TGF-β при введении PLLA опосредована активацией белка ионного канала Piezo1 [26]. Авторы пришли к заключению, что имеется сложная взаимосвязь между процессами неоколлагеногенеза и активацией Piezo1 при старении. В другом исследовании введение крысам комбинации микрочастиц PLLA с ГК способствовало повышению уровня TGF-β, активации фибробластов и зависимому от концентрации PLLA неоколлагеногенезу [39].
Аналогичные результаты показывает анализ данных, полученных в ходе экспериментов по применению препаратов на основе ГК. Например, ИГХ-исследование биоптатов [24], полученных через 0 дней, 30 дней, 90 дней и 180 дней после введения ГК или плацебо самцам мышей линии BALB/c, подтвердило, что ГК обеспечивает устойчивое повышение экспрессии TGF-β в течение не менее 3 мес. Кроме того, после введения ГК наблюдалось значимое повышение синтеза маркеров аутофагии по сравнению с плацебо (p
Рецептор RHAMM характеризовался повышением уровня экспрессии у обоих участников исследования после введения ГК, а также при сочетанном применении PLLA и ГК (см. рис. 6, рис. 8). При введении ГК отмечено повышение уровня RHAMM в 1,1 раза и 1,5 раза у пациентов 1 и 2 соответственно. Комбинированное применение PLLA и ГК также приводило к увеличению экспрессии RHAMM, но в меньшей степени — в 1,01 раза и 1,3 раза у пациентов 1 и 2 соответственно. Монотерапия PLLA характеризовалась снижением уровня RHAMM в 1,05 раза и 1,06 раза у пациентов 1 и 2 соответственно.

Рис. 8. Экспрессия RHAMM в биоптатах кожи. Иммуногистохимическая реакция (×10).
а — биоптат кожи пациента 1 до введения препаратов; б — биоптат кожи пациента 2 до введения препаратов; в — биоптат кожи пациента 1 после применения PLLA; г — биоптат кожи пациента 2 после применения PLLA; д — биоптат кожи пациента 1 после комбинированного применения PLLA и ГК; е — биоптат кожи пациента 2 после комбинированного применения PLLA и ГК; ж — биоптат кожи пациента 1 после применения ГК; з — биоптат кожи пациента 2 после применения ГК. RHAMM — рецептор гиалуронан-опосредованной подвижности; PLLA — поли-L-молочная кислота; ГК — гиалуроновая кислота.
Роль рецептора RHAMM заключается в регуляции подвижности и пролиферации мигрирующих клеток при связывании с ГК, за счет чего обеспечивается ускорение процессов регенерации [41]. Несмотря на широкое освещение вопроса о значимости повышения экспрессии данного рецептора в диагностике злокачественных опухолей и воспалительных заболеваний, в литературе представлены ограниченные данные, по которым можно судить о физиологической экспрессии RHAMM на фоне инволюционных изменений кожи. Так, T.G. Tzellos и соавт. доказали значительное снижение активности генов, кодирующих RHAMM, при фотостарении [11]. В дополнение к этому в другом исследовании применение ГК способствовало статистически значимому повышению экспрессии RHAMM (p
Косвенная морфометрическая оценка степени гидратации коллагеновых волокон, основанная на определении относительного коэффициента светопропускания коллагеном, показала, что наибольшее значение этот показатель принимал в образцах после применения ГК (рис. 9, 10). Так, указанный коэффициент после применения ГК был выше, чем после применения PLLA, в 2,24 раза у пациента 1 и в 2,56 раза у пациента 2. При сопоставлении этого показателя для образцов после введения ГК и образцов до инъекции также выявлено повышение у обоих пациентов. У пациента 1 этот показатель возрос в 1,70 раза, а у пациента 2 — в 2,01 раза. Биоптаты с участков кожи, в которые вводили комбинацию PLLA и ГК, демонстрировали повышение этого коэффициента по сравнению с образцами до инъекции в 1,54 раза у пациента 1 и в 1,45 раза у пациента 2. Сравнение светопропускающей способности в образцах после введения комбинации PLLA и ГК с образцами после введения только PLLA показало, что одномоментное применение указанных средств повысило этот коэффициент в 2,01 раза у пациента 1 и в 1,83 раза у пациента 2. Однако биоптаты с участков кожи, подвергшихся воздействию только ГК, демонстрировали самый значительный коэффициент светопропускания коллагена, который превосходил данный показатель для образцов после введения комбинации PLLA и ГК в 1,10 раза у пациента 1 и в 1,39 раза у пациента 2. Сводные данные о результатах оценки представлены на рис. 10.

Рис. 9. Обработка изображения в программе ImageJ и результат определения интегральной светопропускающей способности среза и коллагеновых волокон.

Рис. 10. Интегральная светопропускающая способность коллагеновых волокон.
ИСС — интегральная светопропускающая способность; PLLA — поли-L-молочная кислота; ГК — гиалуроновая кислота.
Результаты проведенного исследования указывают на разную реактивность дермального слоя кожи у участников эксперимента. В связи с этим при использовании препаратов раздельно или в комбинации следует учитывать индивидуальные особенности пациентов. Вместе с тем изучаемые препараты характеризовались благоприятным профилем безопасности: нежелательных реакций в ходе исследования зарегистрировано не было.
Заключение
В соответствии с результатами проведенного исследования можно сделать вывод о том, что применение исследуемых препаратов PLLA и ГК как раздельно, так и в комбинации за одну процедуру является безопасным. Повышение экспрессии TGF-β1 свидетельствует о синергетическом действии при совместном применении PLLA и ГК. Прослеживаемая тенденция к изменению концентрации исследованных биомаркеров — TGF-β1 и RHAMM, а также степени гидратации коллагеновых волокон подтверждает, что при введении PLLA и ГК за одну сессию обеспечивается эффективное связывание и удерживание молекул воды в клетках, усиление миграции клеток и стимуляция синтеза фибробластами различных компонентов внеклеточного матрикса с повышением его структурной целостности. Реактивность дермального слоя у участников исследования различалась, поэтому при инъекционной коррекции инволюционных изменений кожи следует учитывать индивидуальные особенности пациентов.
На основании полученных результатов и данных, представленных другими исследователями, можно констатировать значительный потенциал для дальнейшего изучения комбинированных методов инъекционной коррекции инволюционных изменений кожи в рамках масштабных рандомизированных исследований. В связи с этим целесообразно провести дополнительные исследования эффективности и безопасности одномоментного применения PLLA и ГК, что позволит получить более обоснованные и достоверные выводы о возможностях данного подхода в клинической практике.
Участие авторов:
Концепция и дизайн исследования — Тимофеев А.В., Мураков С.В., Главнова А.М.
Сбор и обработка материала — Тимофеев А.В., Мураков С.В., Главнова А.М., Веревкин А.А., Соколова О.Ф.
Статистическая обработка — Веревкин А.А.
Написание текста — Мураков С.В., Главнова А.М., Веревкин А.А.
Редактирование — Мураков С.В., Веревкин А.А.
Финансирование. Исследование выполнено при поддержке ООО «Лотос 288», Москва, Россия.
Конфликт интересов. А.В. Тимофеев, С.В. Мураков и А.М. Главнова сотрудничают с ООО «Лотос 288».
Литература:
Tobin DJ. Introduction to skin aging. J Tissue Viability. 2017;26(1):37-46. https://doi.org/10.1016/j.jtv.2016.03.002
Смолякова С.А., Олисова О.Ю. Коррекция возрастных изменений кожи у женщин с помощью аминокислотного кластера. Российский журнал кожных и венерических болезней. 2015;18(2):50-57. Ссылка активна на 13.09.2024. https://cyberleninka.ru/article/n/korrektsiya-vozrastnyh-izmeneniy-kozhi-u-zhenschin-s-pomoschyu-aminokislotnogo-klastera
El-Domyati M, El-Ammawi TS, Moawad O, El-Fakahany H, Medhat W, Mahoney MG, Uitto J. Efficacy of mesotherapy in facial rejuvenation: a histological and immunohistochemical evaluation. Int J Dermatol. 2012 Aug; 51(8):913-919. PMID: 22788806; PMCID: PMC3513770. https://doi.org/10.1111/j.1365-4632.2011.05184.x
Bukhari SNA, Roswandi NL, Waqas M, Habib H, Hussain F, Khan S, Sohail M, Ramli NA, Thu HE, Hussain Z. Hyaluronic acid, a promising skin rejuvenating biomedicine: A review of recent updates and pre-clinical and clinical investigations on cosmetic and nutricosmetic effects. Int J Biol Macromol. 2018 Dec;120(Pt B):1682-1695. Epub 2018 Oct 1. PMID: 30287361. https://doi.org/10.1016/j.ijbiomac.2018.09.188
Fisher GJ, Quan T, Purohit T, Shao Y, Cho MK, He T, Varani J, Kang S, Voorhees JJ. Collagen fragmentation promotes oxidative stress and elevates matrix metalloproteinase-1 in fibroblasts in aged human skin. Am J Pathol. 2009 Jan; 174(1):101-114. Epub 2008 Dec 30. PMID: 19116368; PMCID: PMC2631323. https://doi.org/10.2353/ajpath.2009.080599
Chen F, Guo X, Wu Y. Skin antiaging effects of a multiple mechanisms hyaluronan complex. Skin Res Technol. 2023;29(6):e13350. https://doi.org/10.1111/srt.13350
Cabral LRB, Teixeira LN, Gimenez RP, Demasi APD, de Brito Junior RB, de Araújo VC, Martinez EF. Effect of Hyaluronic Acid and Poly-L-Lactic Acid Dermal Fillers on Collagen Synthesis: An in vitro and in vivo Study. Clin Cosmet Investig Dermatol. 2020 Sept 29;13:701-710. PMID: 33061510; PMCID: PMC7533910. https://doi.org/10.2147/CCID.S266015
Qin Z, Voorhees JJ, Fisher GJ, Quan T. Age-associated reduction of cellular spreading/mechanical force up-regulates matrix metalloproteinase-1 expression and collagen fibril fragmentation via c-Jun/AP-1 in human dermal fibroblasts. Aging Cell. 2014;13(6):1028-1037. https://doi.org/10.1111/acel.12265
Naylor EC, Watson REB, Sherratt MJ. Molecular aspects of skin ageing. Maturitas. 2011;69(3):249-256. https://doi.org/10.1016/j.maturitas.2011.04.011
Shin J-W, Kwon S-H, Choi J-Y, Na J-I, Huh C-H, Choi H-R, Park K-C. Molecular Mechanisms of Dermal Aging and Antiaging Approaches. Int J Mol Sci. 2019 Apr 29;20(9):2126. PMID: 31036793; PMCID: PMC6540032. https://doi.org/10.3390/ijms20092126
Tzellos TG, Klagas I, Vahtsevanos K, Triaridis S, Printza A, Kyrgidis A, Karakiulakis G, Zouboulis CC, Papakonstantinou E. Extrinsic ageing in the human skin is associated with alterations in the expression of hyaluronic acid and its metabolizing enzymes. Exp Dermatol. 2009 Dec;18(12):1028-1035. PMID: 19601984. https://doi.org/10.1111/j.1600-0625.2009.00889.x
Fisher GJ, Sachs DL, Voorhees JJ. Ageing: collagenase-mediated collagen fragmentation as a rejuvenation target. Br J Dermatol. 2014;171(3):446-449. https://doi.org/10.1111/bjd.13267
Fallacara A, Manfredini S, Durini E, Vertuani S. Hyaluronic Acid Fillers in Soft Tissue Regeneration. Facial Plast Surg. 2017;33(1):87-96. https://doi.org/10.1055/s-0036-1597685
Fitzgerald R, Carqueville J, Yang PT. An approach to structural facial rejuvenation with fillers in women. Int J Womens Dermatol. 2018;5(1):52-67. https://doi.org/10.1016/j.ijwd.2018.08.011
Global Survey 2023: Full Report and Press Releases. Accessed September 16, 2024. https://www.isaps.org/discover/about-isaps/global-statistics/global-survey-2023-full-report-and-press-releases
Fan Y, Choi TH, Chung JH, Jeon YK, Kim S. Hyaluronic acid-cross-linked filler stimulates collagen type 1 and elastic fiber synthesis in skin through the TGF-β/Smad signaling pathway in a nude mouse model. J Plast Reconstr Aesthet Surg. 2019;72(8):1355-1362. https://doi.org/10.1016/j.bjps.2019.03.032
Pesqué D, Aerts O, Bizjak M, Gonçalo M, Dugonik A, Simon D, Ljubojević-Hadzavdić S, Malinauskiene L, Wilkinson M, Czarnecka-Operacz M, Krecisz B, John SM, Balato A, Ayala F, Rustemeyer T, Giménez-Arnau AM. Differential diagnosis of contact dermatitis: A practical-approach review by the EADV Task Force on contact dermatitis. J Eur Acad Dermatol Venereol. 2024 Sept;38(9):1704-1722. https://doi.org/10.1111/jdv.20052
Lugović-Mihić L, Novak-Bilić G, Vučić M, Japundžić I, Bukvić I. CD44 expression in human skin: High expression in irritant and allergic contact dermatitis and moderate expression in psoriasis lesions in comparison with healthy controls. Contact Dermatitis. 2020 May;82(5):297-306. https://doi.org/10.1111/cod.13463
Jokela T, Oikari S, Takabe P, Rilla K, Kärnä R, Tammi M, Tammi R. Interleukin-1β-induced Reduction of CD44 Ser-325 Phosphorylation in Human Epidermal Keratinocytes Promotes CD44 Homomeric Complexes, Binding to Ezrin, and Extended, Monocyte-adhesive Hyaluronan Coats. J Biol Chem. 2015 May 08;290(19):12379-12393. https://doi.org/10.1074/jbc.M114.620864
Ponta H, Sherman L, Herrlich PA. CD44: from adhesion molecules to signalling regulators. Nat Rev Mol Cell Biol. 2003 Jan;4(1):33-45. https://doi.org/10.1038/nrm1004
França Wanick FB, Almeida Issa MC, Luiz RR, Soares Filho PJ, Olej B. Skin Remodeling Using Hyaluronic Acid Filler Injections in Photo-Aged Faces. Dermatol Surg. 2016;42(3):352-359. https://doi.org/10.1097/DSS.0000000000000659
Wang F, Garza LA, Kang S, Varani J, Orringer JS, Fisher GJ, Voorhees JJ. In vivo stimulation of de novo collagen production caused by cross-linked hyaluronic acid dermal filler injections in photodamaged human skin. Arch Dermatol. 2007 Feb;143(2):155-163. PMID: 17309996. https://doi.org/10.1001/archderm.143.2.155
Главнова А.М., Калашникова Н.Г., Капулер О.М., Мураков С.В., Разумовская Е.А., Терентьева Л.В., Тимофеев А.В. Консенсус по применению биоревитализации в составе моно- и комбинированных протоколов эстетической коррекции. Клиническая дерматология и венерология. 2024;23(5):601-610. https://doi.org/10.17116/klinderma202423051601
Chen R, Yang W, Sun J, Liu Y, An Q, Zhang F, Bai Z, Luan Q. Triple Cross-Linked Hyaluronic Acid Based on Tri-Hyal Technique Has More Durable Effect on Dermal Renewal. Clin Cosmet Investig Dermatol. 2022 Apr 15;15: 691-701. PMID: 35450398; PMCID: PMC9017695. https://doi.org/10.2147/CCID.S362785
Kwon T-R, Han SW, Yeo IK, Kim JH, Kim JM, Hong J-Y, Lee B-C, Lee S-E, Moon HS, Kwon HJ, Kim BJ. Biostimulatory effects of polydioxanone, poly-d, l lactic acid, and polycaprolactone fillers in mouse model. J Cosmet Dermatol. 2019 Aug;18(4):1002-1008. Epub 2019 Apr 15. PMID: 30985064. https://doi.org/10.1111/jocd.12950
Byun K-A, Lee JH, Lee SY, et al. Piezo1 Activation Drives Enhanced Collagen Synthesis in Aged Animal Skin Induced by Poly L-Lactic Acid Fillers. Int J Mol Sci. 2024;25(13):7232. https://doi.org/10.3390/ijms25137232
Fitzgerald R, Bass LM, Goldberg DJ, Graivier MH, Lorenc ZP. Physiochemical Characteristics of Poly-L-Lactic Acid (PLLA). Aesthet Surg J. 2018;38(Suppl 1):S13-S17. https://doi.org/10.1093/asj/sjy012
Разумовская Е.А., Капулер О.М., Мураков С.В., Главнова А.М. Гибридный протокол одномоментного применения поли-L-молочной кислоты и высокомолекулярной гиалуроновой кислоты при инволюционных изменениях кожи: клиническая, ультразвуковая и гистологическая оценка. Медицинский совет. 2025;(2):125-134. https://doi.org/10.21518/ms2025-087
Ao YJ, Yi Y, Wu GH. Application of PLLA (Poly-L-Lactic acid) for rejuvenation and reproduction of facial cutaneous tissue in aesthetics: A review. Medicine (Baltimore). 2024;103(11):e37506. https://doi.org/10.1097/MD.0000000000037506
Goldberg D, Guana A, Volk A, Daro-Kaftan E. Single-arm study for the characterization of human tissue response to injectable poly-L-lactic acid. Dermatol Surg. 2013;39(6):915-922. https://doi.org/10.1111/dsu.12164
Oh S, Lee JH, Kim HM, et al. Poly-L-Lactic Acid Fillers Improved Dermal Collagen Synthesis by Modulating M2 Macrophage Polarization in Aged Animal Skin. Cells. 2023;12(9):1320. https://doi.org/10.3390/cells12091320
Oh S, Seo SB, Kim G, Batsukh S, Son KH, Byun K. Poly-D,L-Lactic Acid Stimulates Angiogenesis and Collagen Synthesis in Aged Animal Skin. Int J Mol Sci. 2023;24(9):7986. https://doi.org/10.3390/ijms24097986
Мураков С.В., Разумовская Е.А., Захаров Д.Ю., Тимофеев А.В., Никитина Е.А. Применение поли-L-молочной кислоты в эстетической медицине. Пластическая хирургия и эстетическая медицина. 2023;(4):101-111. https://doi.org/10.17116/plast.hirurgia2023041101
Разумовская Е.А., Капулер О.М., Мураков С.В., Главнова А.М. Введение поли-L-молочной кислоты при инволюционных изменениях кожи тела: клиническая, ультразвуковая и гистологическая оценка эффективности. Пластическая хирургия и эстетическая медицина. 2024;(3):62-70. https://doi.org/10.17116/plast.hirurgia202403162
Славинский А.А., Веревкин А.А., Чуприненко Л.М., Друшевская Л.М., Кристесиашвили М.В. Методы цифровой патологии в анализе эндомиокардиальных биоптатов. Инновационная медицина Кубани. 2023; (3):31-37. https://doi.org/10.35401/2541-9897-2023-26-3-31-37
Qin Z, Fisher GJ, Voorhees JJ, Quan T. Actin cytoskeleton assembly regulates collagen production via TGF‐β type II receptor in human skin fibroblasts. J Cell Mol Med. 2018;22(9):4085-4096. https://doi.org/10.1111/jcmm.13685
Varì S, Minoretti P, Emanuele E. Human dermal fibroblast response to hyaluronic acid-based injectable dermal fillers: an in vitro study. Adv Dermatol Allergol. 2022;39(6):1088-1092. https://doi.org/10.5114/ada.2022.114927
Stein P, Vitavska O, Kind P, Hoppe W, Wieczorek H, Schürer NY. The biological basis for poly-L-lactic acid-induced augmentation. J Dermatol Sci. 2015;78(1):26-33. https://doi.org/10.1016/j.jdermsci.2015.01.012
Chuang F-J, Wang Y-W, Chang L-R, Chang C-Y, Cheng H-Y, Kuo SM. Enhanced skin neocollagenesis through the transdermal delivery of poly-L-lactic acid microparticles by using a needle-free supersonic atomizer. Biomater Adv. 2023;154:213619. https://doi.org/10.1016/j.bioadv.2023.213619
Zhu W, Dong C. Poly-L-Lactic acid increases collagen gene expression and synthesis in cultured dermal fibroblast (Hs68) through the TGF-β/Smad pathway. J Cosmet Dermatol. 2023;22(4):1213-1219. https://doi.org/10.1111/jocd.15571
Dovedytis M, Liu ZJ, Bartlett S. Hyaluronic acid and its biomedical applications: A review. Engineered Regeneration. 2020;1:102-113. https://doi.org/10.1016/j.engreg.2020.10.001
Damodarasamy M, Johnson RS, Bentov I, MacCoss MJ, Vernon RB, Reed MJ. Hyaluronan enhances wound repair and increases collagen III in aged dermal wounds. Wound Repair Regen. 2014;22(4):521-526. https://doi.org/10.1111/wrr.12192
прочитано
1583
раза